今年10月29日是第20个世界卒中日,世界卒中组织(WSO)以“分秒必争,识别卒中,快速行动”的号召敲响全球健康警钟,中国卒中学会同步确立“尽早识别,立刻就医”的主题,旨在强调快速识别卒中症状并立即寻求专业医疗帮助的紧迫性。
近日,我院神经内科卒中中心上演了一场与时间赛跑的“大脑保卫战”。一名63岁突发严重心源性脑栓塞的男性患者,在发病后短时间内被紧急送至我院,通过高效的绿色通道和精准的急诊介入取栓手术,成功实现血管再通,取得了良好的治疗效果。
病情骤变:六旬男子突发昏迷,病因直指心脏
10月23日傍晚,患者高先生(化名)在家中吃饭时还神志清楚,言语流利。约18:00,家属突然听到其呼救,发现他已神志不清、呼之不应,摔倒在地,右侧肢体无法活动。家属立即意识到情况危急,第一时间拨打了120急救电话。19:17,患者被送至我院急诊科。
高效诊断:绿色通道速明诊断,取栓刻不容缓
我院立即启动脑卒中救治绿色通道。急查头部CT排除颅内出血,结合患者有“风湿性心脏病、二尖瓣机械瓣膜置换术后”并长期服用华法林的病史,神经内科专家团队迅速确诊其为“急性脑梗死(心源性栓塞)”,因有抗凝史,存在静脉溶栓禁忌。目前,急诊介入取栓是唯一能最大限度挽救生命、降低致残率的可行方案。神经内科介入团队在与家属充分沟通病情的高风险与手术必要性后,家属同意手术。
精准施治:介入团队深夜作战,一小时打通生命线
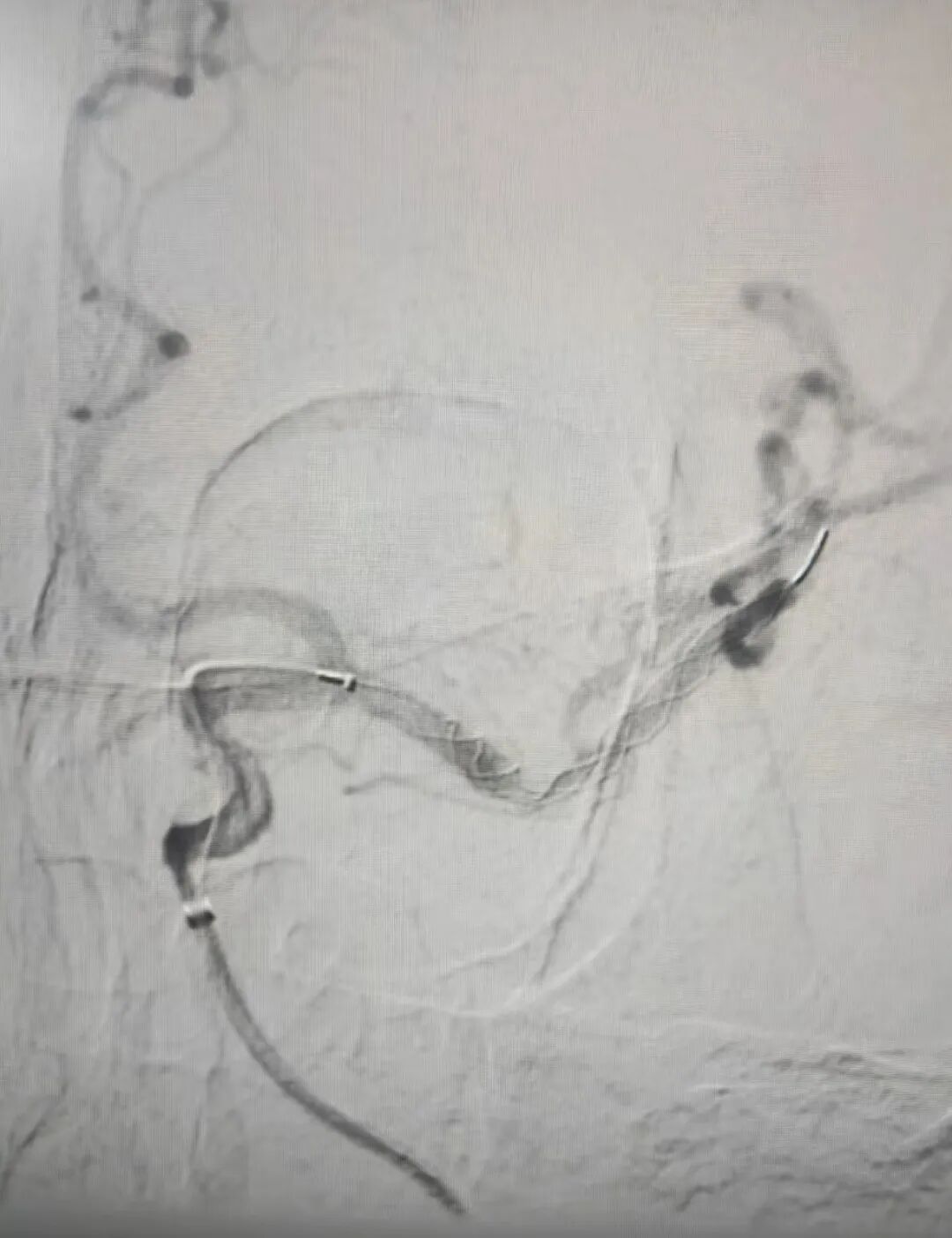
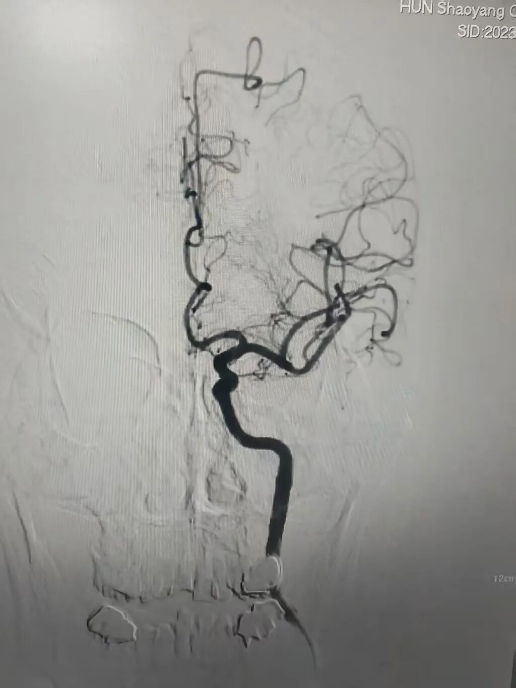
时间就是大脑!神经内科介入团队火速行动。19:50,患者被送入介入室,在局部麻醉下,邹永彪主任医师及其介入团队成员为患者立即施行了脑血管造影术,造影结果显示:左侧大脑中动脉闭塞,这是导致患者昏迷及右侧偏瘫的直接原因。团队凭借精湛技术,运用先进的取栓支架系统,精准定位并成功取出堵塞血管的暗红色血栓。术后造影显示,原先闭塞的左侧大脑中动脉及其分支恢复显影,前向血流重建!整个手术过程从穿刺到成功再通,仅用时约1小时。




救治关键:早识别快行动,团队协作创奇迹
患者的成功救治,是我院卒中中心综合救治实力的体现,更是“卒中急救理念”的胜利。从家属发现异常后立即呼救,到120迅速转运;从我院急诊科快速分诊,启动绿色通道,到神经内科、介入团队的无缝衔接与精准操作——每一个环节的“快”与“准”,共同为患者赢得了宝贵的生机。患者术后转入NICU继续治疗,为神经功能的良好恢复奠定了坚实的基础。
1.“尽早识别”是前提:
家属敏锐识别了患者“神志不清、呼之不应、肢体活动障碍”等卒中典型症状。
2.“立刻就医”是关键:
立即拨打120,为后续救治赢得了决定性的时间窗。
3.“绿色通道”是保障:
我院成熟的卒中中心模式,确保了从急诊、影像、检验到介入手术室的全程畅通,最大限度缩短了“入院至再通”时间。
在“世界卒中日”来临之际,我们向广大市民发出倡议:
突然出现的肢体无力、言语不清、神志异常、口角歪斜等,都可能是卒中警报。
一旦怀疑卒中,第一选择就是立即拨打120。
为生命争取最高的救治质量。
邵阳市中心医院神经内科卒中团队,始终坚守在抗击卒中的第一线,用精湛的技术和快速的响应,为每一位患者的生命健康保驾护航。我们坚信,只要您给我们以信任和时间,我们必将全力以赴,为您创造生命的奇迹!
来源:邵阳市中心医院
