邵阳日报·邵阳新闻在线讯(通讯员 石向江 颜程)10月22日,邵阳市中心医院心血管内科再创佳绩,成功为一名多次接受冠心病介入治疗但效果不佳的患者实施了邵阳地区首例经皮冠状动脉腔内激光成形术。此次手术的成功实施,标志着该院在复杂冠心病治疗领域迈上了新的高度,为广大患者带来了新的康复希望。

病例分享:反复治疗未果,激光技术显奇效
患者刘先生,59岁,患有冠心病多年,先后在多家医院接受过冠脉球囊扩张术和冠脉支架植入术,但病情未见根本改善,反复出现胸痛和气短,严重影响生活质量。经多方打听,刘先生慕名前来邵阳市中心医院心血管内科就诊。经过全面检查和详细评估,专家团队发现患者冠状动脉存在多处严重狭窄,伴随高度钙化和纤维化,传统介入手段已难以取得良好疗效。
面对这一复杂病例,在石向江主任带领下,心血管内科专家团队制定了个性化的治疗方案,最终决定采用先进的经皮冠状动脉腔内激光成形术进行治疗。手术中,由石向江主任主刀,首先通过导管将激光装置精确定位于狭窄的冠状动脉区域。启动激光器后,高能激光束以精准的能量释放,逐层消融血管内的钙化和纤维化斑块。激光的精确控制确保仅针对病变组织,而不损伤周围健康血管壁。整个过程中,实时影像监控血流变化,确保血管逐步恢复通畅。激光成形过程高效且安全,术中血流显著改善。术后李先生恢复良好,胸痛等症状显著缓解,对治疗效果十分满意。

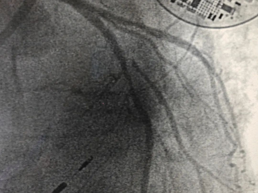
激光成形术前

激光成形术后
技术优势:激光成形术为疑难冠心病治疗带来新突破
经皮冠状动脉腔内激光成形术是一项具有前沿性的心脏介入治疗技术,通过激光能量汽化冠状动脉内的病变斑块,尤其适用于以下复杂情况:
(1)多支或高度钙化病变:对多支病变、长段狭窄及高度钙化、纤维化的斑块有显著效果。
(2)传统治疗不佳:适用于多次介入治疗效果不佳的患者。
(3)降低手术风险:减少对血管壁的机械损伤,降低术中和术后并发症的风险。
此次激光成形术的成功开展,不仅拓展了我院对疑难冠心病的治疗手段,也为类似复杂病例的患者提供了全新的治疗选择。
心血管内科:精湛技术,卓越团队
邵阳市中心医院心血管内科汇聚了一支经验丰富、技术精湛的专业团队,长期致力于心血管疾病的临床研究和创新治疗。科室不断引进国内外先进的诊疗技术与设备,2024年,分别与北京安贞医院及武汉亚洲心脏病医院签订了相关合作协议,有国家级专家教授前来开展坐诊、教学查房、手术指导、技术培训等项目,力争打造邵阳心血管病中心,保持区域内的行业领先地位。此次手术的成功实施,充分展现了科室在心血管介入治疗领域的雄厚实力和技术水平。
邵阳市中心医院心血管内科始终坚持“以患者为中心”的服务理念,为每一位患者提供个性化、全方位的医疗服务。从精准的术前评估、量身定制的治疗方案,到无微不至的术后护理,科室全体医护人员以高度的责任心和专业精神,赢得了广大患者的信赖与好评。
